Des chercheurs du laboratoire Information génomique et structurale (CNRS/Université Aix-Marseille), associés au laboratoire Biologie à Grande Échelle (CEA/Inserm/Université Grenoble Alpes), viennent de découvrir deux virus géants dont le nombre de gènes rivalise avec celui de certains microorganismes cellulaires eucaryotes (cellules à noyau). Ces deux virus d’un type totalement nouveau ont été baptisés « Pandoravirus », ce qui évoque à la fois leur forme en amphore et leur contenu génétique mystérieux. Ces résultats sont publiés en couverture du numéro du 19 juillet 2013 de la revue Science.
[ Cliquez sur l'image pour l'agrandir ]
![]() |
| COUVERTURE DU NUMÉRO DU 19 JUILLET 2013 DE LA REVUE SCIENCE |
[ Cliquez sur l'image pour l'agrandir ]
|
- Pandoravirus salinus, sur les côtes chiliennes ;
- Pandoravirus dulcis, dans une mare d’eau douce à Melbourne (Australie).
L’analyse détaillée de ces deux premiers Pandoravirus révèle qu’ils n’ont quasiment aucun point commun avec les virus géants précédemment caractérisés. De plus, seul un infime pourcentage (6%) des protéines codées par les 2500 gènes de Pandoravirus salinus ressemble à des protéines déjà répertoriées dans les autres virus ou les organismes cellulaires. Avec un génome de cette taille, Pandoravirus salinus vient démontrer que la complexité des virus peut dépasser celle de certaines cellules eucaryotes [2]. Autre singularité : les Pandoravirus n’ont aucun gène qui leur permettrait de fabriquer une protéine ressemblant à la protéine de capside, la brique de base des virus traditionnels.
Malgré toutes leurs propriétés originales, les Pandoravirus conservent les caractéristiques essentielles du monde viral : absence de ribosome, de production d’énergie et de division.
[ Cliquez sur l'image pour l'agrandir ]
Dans ce contexte de nouveauté absolue, l’analyse du protéome de Pandoravirus salinus a permis de montrer que les protéines qui le constituent sont bien celles prédites à partir de la séquence du génome du virus. Les Pandoravirus utilisent donc le code génétique universel, code commun à tous les organismes vivants sur notre planète.
Ce travail souligne à quel point notre connaissance de la biodiversité microscopique reste étonnamment partielle dès que l’on explore de nouveaux environnements. En effet, les Pandoravirus, jusqu’alors totalement inconnus, ne sont sans doute pas rares comme l’atteste la découverte simultanée de deux spécimens de cette nouvelle famille virale dans des sédiments localisés à 15000 km de distance.
La découverte qui a été réalisée comble définitivement une discontinuité entre le monde viral et le monde cellulaire, discontinuité qui a été érigée en dogme depuis les fondements de la virologie moderne dans les années 1950. Elle suggère également que l’émergence de la vie cellulaire a pu s’accompagner d’une diversité beaucoup plus foisonnante de formes pré-cellulaires que celles envisagées classiquement, ce nouveau type de virus géant étant quasiment sans homologie avec les trois domaines du vivant reconnus : eucaryotes, eubactéries et archébactéries.
[ Cliquez sur l'image pour l'agrandir ]
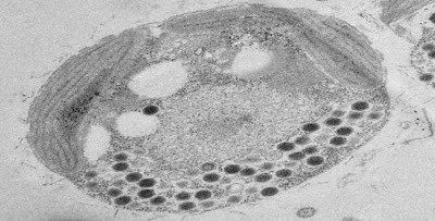
![]() |
| PANDORAVIRUS SALINUS OBSERVÉ PAR MICROSCOPIE ÉLECTRONIQUE © IGS CNRS-AMU |
Notes
[1] Arslan D, Legendre M, Seltzer V, Abergel C, Claverie JM (2011) “Distant Mimivirus relative with a larger genome highlights the fundamental features of Megaviridae”. Proc Natl Acad Sci USA. 108: 17486-91.
[2] Il s’agit notamment des microsporidies parasites du genre Encephalitozoon.
“Pandoraviruses: Amoeba viruses with genomes up to 2.5 Mb reaching that of parasitic eukaryotes”. Nadège Philippe, Matthieu Legendre, Gabriel Doutre, Yohann Couté, Olivier Poirot, Magali Lescot, Defne Arslan, Virginie Seltzer, Lionel Bertaux, Christophe Bruley, Jérome Garin, Jean-Michel Claverie, Chantal Abergel. Science. DOI : 10.1126/science.1239181



